Table of Contents
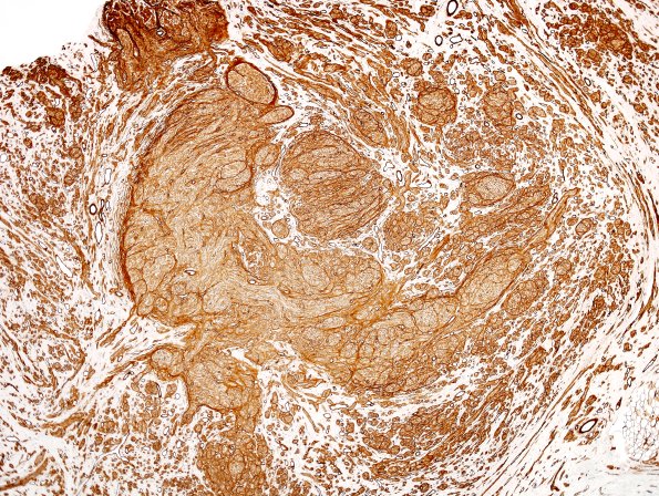
Washington University Experience | PERIPHERAL NEUROPATHY | 19 TRAUMATIC INJURIES | 9C1 Neuroma, traumatic (Case 9) Coll IV 4
9C1,2 Immunohistochemical staining for collagen IV highlights the normal perineurium of several intact fascicles, mini-fascicles, Schwann cell and vascular basement membranes.
