Table of Contents



Washington University Experience | PERIPHERAL NEUROPATHY | 19 TRAUMATIC INJURIES | 9C3 Neuroma, traumatic (Case 9) Coll IV 2

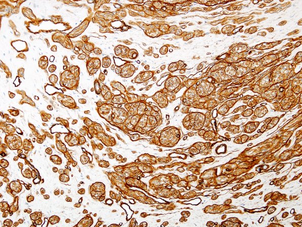
9C3 Neuroma, traumatic (Case 9) Coll IV 2
Higher magnification of mini-fascicles. (Coll IV IHC)


Gallery RSS RSS Feed | Archive View | Login | Powered by Zenphoto