Table of Contents



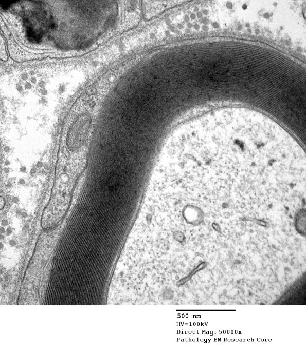
Washington University Experience | PERIPHERAL NEUROPATHY | 2 NORMAL AXON | 10A2 Axon normal (Case 10) EM 052 - Copy

10A2 Axon normal (Case 10) EM 052 - Copy
Small myelinated axons with normal substructure. (Electron micrograph)


Gallery RSS RSS Feed | Archive View | Login | Powered by Zenphoto