Table of Contents



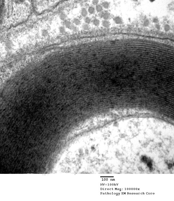
Washington University Experience | PERIPHERAL NEUROPATHY | 2 NORMAL AXON | 10A4 Axon normal (Case 10) EM 054 (2) - Copy

10A4 Axon normal (Case 10) EM 054 (2) - Copy
Internal mesaxon of a small myelinated axon with normal substructure. (Electron micrograph)


Gallery RSS RSS Feed | Archive View | Login | Powered by Zenphoto