Table of Contents



Washington University Experience | PERIPHERAL NEUROPATHY | 2 NORMAL AXON | 10A5 Axon normal (Case 10) M 067 - Copy

10A5 Axon normal (Case 10) M 067 - Copy
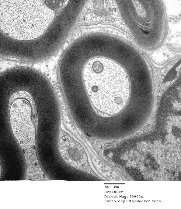
A small myelinated axon with normal substructure. (Electron micrograph)


Gallery RSS RSS Feed | Archive View | Login | Powered by Zenphoto