Table of Contents



Washington University Experience | PERIPHERAL NEUROPATHY | 2 NORMAL AXON | 11A1 (Case 11) EM 006 - Copy

11A1 (Case 11) EM 006 - Copy
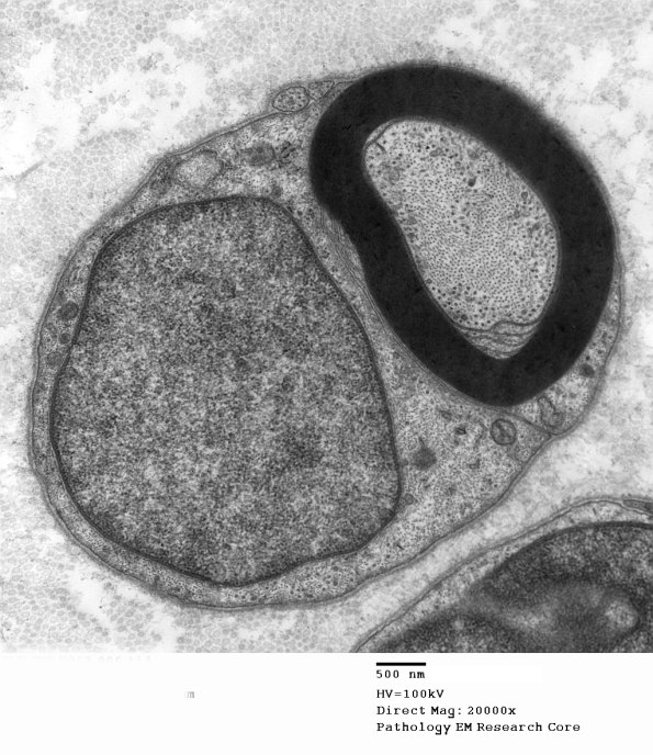
11A1-4 Various magnification images of a small myelinated axon. (Electron micrographs)


Gallery RSS RSS Feed | Archive View | Login | Powered by Zenphoto