Table of Contents



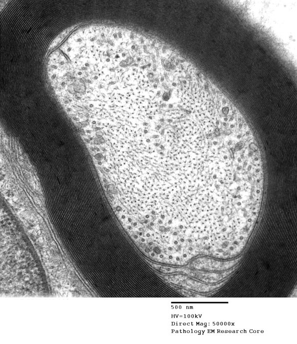
Washington University Experience | PERIPHERAL NEUROPATHY | 2 NORMAL AXON | 11A3 (Case 11 EM 003 - Copy

11A3 (Case 11 EM 003 - Copy
Higher magnification of image #11A2. (electron micrograph)


Gallery RSS RSS Feed | Archive View | Login | Powered by Zenphoto