Table of Contents
Washington University Experience | PERIPHERAL NEUROPATHY | 2 NORMAL AXON | 2A 1EM 19 - (Case 2) Copy
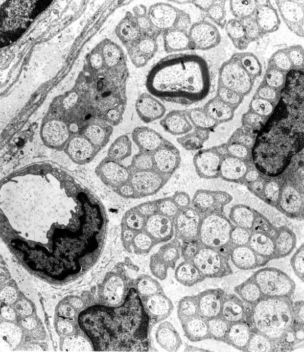
In some nerves and species Remak bundles of unmyelinated axons, i.e., prominent collections of axons held within a common Schwann cell process. (electron micrograph)
