Table of Contents
Washington University Experience | PERIPHERAL NEUROPATHY | 2 NORMAL AXON | 3A Normal axons, sural (Case 3) EM 075 - Copy copy
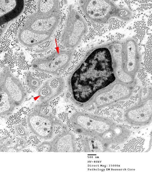
A more typical appearance in nerves submitted for clinical analysis are that large groups of unmyelinated axons arranged in Remak bundles are relatively uncommon and that there are instead significant small groups of axons as well as “singletons” (arrow). Also note the collagen pockets (arrowheads). Additionally, the inner portion of the unmyelinated axolemma adjacent to the peri-axonal Schwann cells does not show a basement membrane although the outer aspect of the Schwann cell adjacent to the extracellular endoneurial space does. (electron micrograph)
