Table of Contents
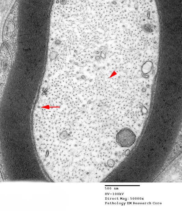
Washington University Experience | PERIPHERAL NEUROPATHY | 2 NORMAL AXON | 4A2 cytoskeleton (Case 4) 066 - Copy copy
In a higher magnification image notice the beautiful periodicity of the myelin sheath as well as scattered microtubules (arrow) and relatively larger numbers of neurofilaments. (electron micrograph)
