Table of Contents
Washington University Experience | PERIPHERAL NEUROPATHY | 2 NORMAL AXON | 4A5 Normal axon, external mesaxon (Case 4) copy.jpg
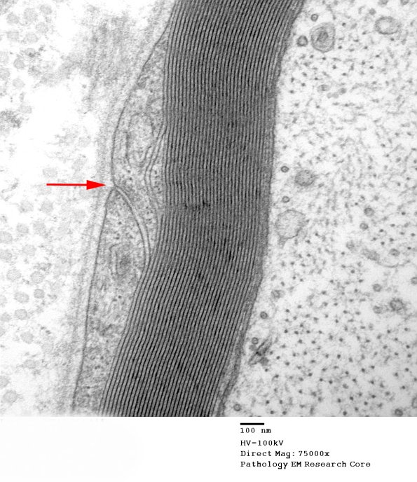
The external mesaxon, the theoretical connection of the outside extracellular space and periaxonal spaces is often marked by densities formed in adjacent elements of the Schwann cell. Also notice that the external portion of the Schwann cell exhibits a prominent basal membrane but that the inner layers forming the myelin do not. (electron micrograph)
