Table of Contents



Washington University Experience | PERIPHERAL NEUROPATHY | 2 NORMAL AXON | 5A1 Axon, normal, PNS EM 1 (2) (Case 5) - Copy

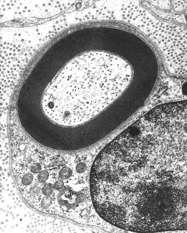
5A1 Axon, normal, PNS EM 1 (2) (Case 5) - Copy
A normal appearing small myelinated axon is seen at two magnifications. (electron micrographs)


Gallery RSS RSS Feed | Archive View | Login | Powered by Zenphoto