Table of Contents
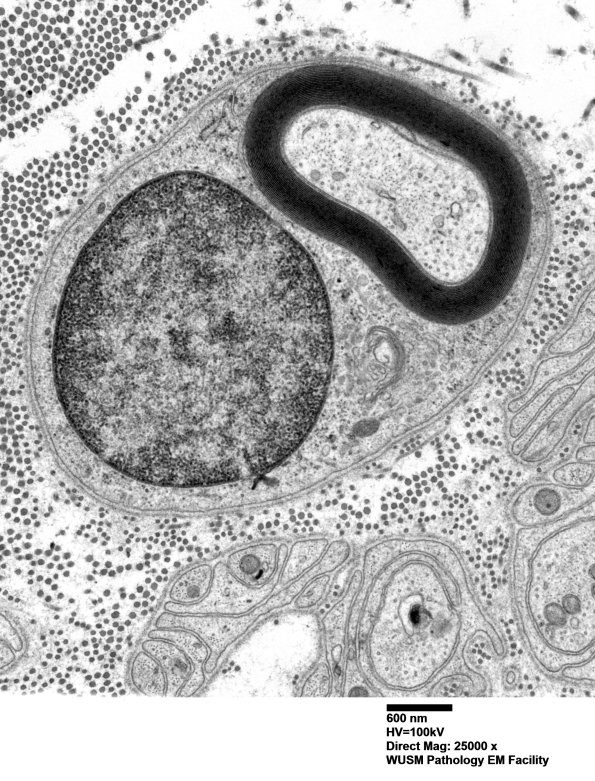
Washington University Experience | PERIPHERAL NEUROPATHY | 2 NORMAL AXON | 6A1 Normal axon (Case 6) 019 - Copy
6A1,2 A normal appearing small, myelinated axon shows elements of the endoplasmic reticulum (arrowheads) and the internal and external mesaxons (arrows). (electron micrographs)
