Table of Contents
Washington University Experience | PERIPHERAL NEUROPATHY | 2 NORMAL AXON | 9A1 Normal Nerve (Case 9) new_039A - Copy
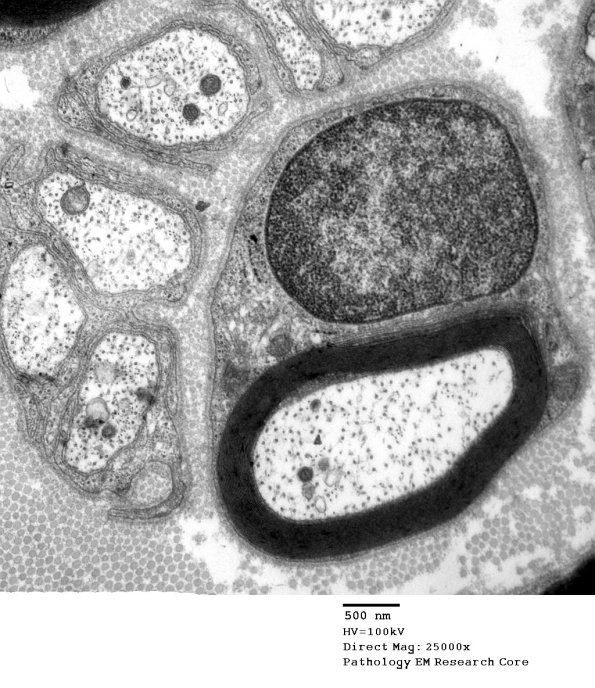
9A1-4 Unmyelinated axons (and small myelinated axons) tend to have increased numbers of microtubules compared to neurofilaments which predominate in large myelinated axons. (electron micrograph)
