Table of Contents
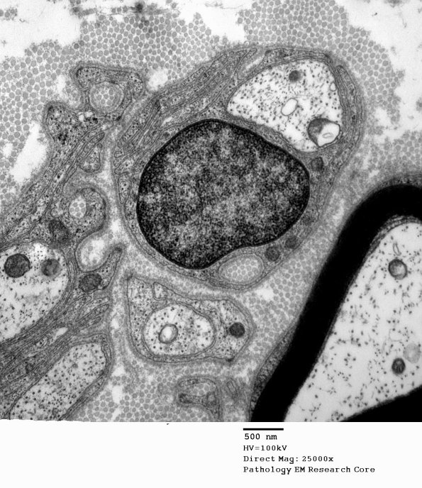
Washington University Experience | PERIPHERAL NEUROPATHY | 2 NORMAL AXON | 9A2 Normal Nerve (Case 9) new_040A - Copy
Unmyelinated axons (and small myelinated axons) tend to have increased numbers of microtubules compared to neurofilaments which predominate in large myelinated axons. (electron micrograph)
