Table of Contents
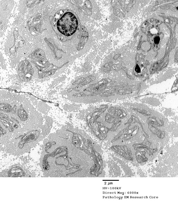
Washington University Experience | PERIPHERAL NEUROPATHY | 20 PSEUDO-ONION BULBS | 1C1 PseudoOB (Case 1)_082A - Copy
Ultrastructural examination was performed to further explore the nature of the onion-bulb formation in this case, i.e., is this an example of true vs. pseudo-onion bulbs? ---- 1C1,2 These images show the pathologic substrate in this case which is nearly complete loss of axons with numerous bands of Büngner. (electron micrographs)
