Table of Contents
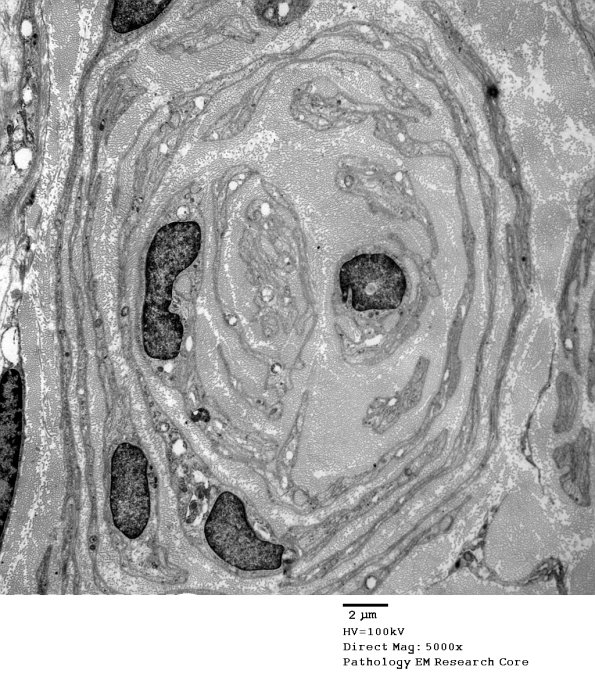
Washington University Experience | PERIPHERAL NEUROPATHY | 20 PSEUDO-ONION BULBS | 1C12A PseudoOB (Case 1)_028A - Copy
1C12A,B Several Schwann cell nuclei form the core of this pseudo-onion bulb with numerous processes and collagen pockets. (electron micrographs)
