Table of Contents
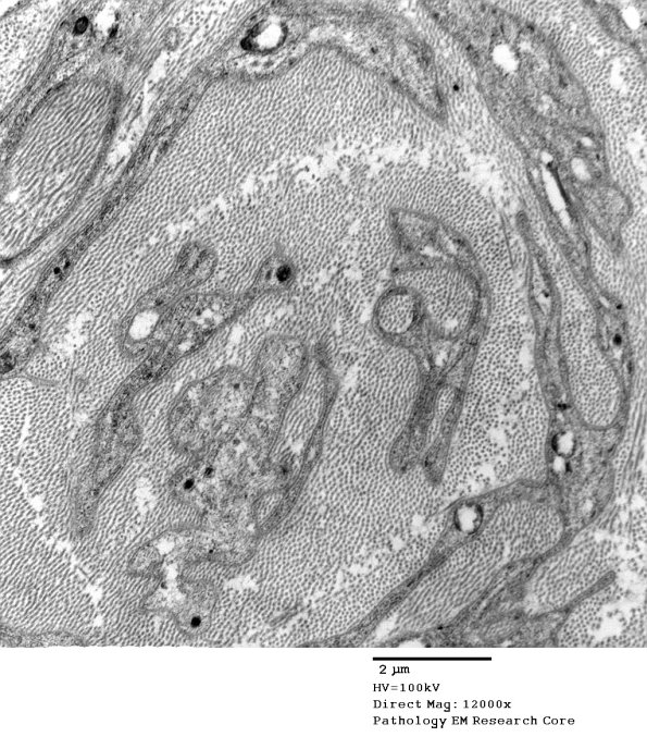
Washington University Experience | PERIPHERAL NEUROPATHY | 20 PSEUDO-ONION BULBS | 1C13B PseudoOB (Case 1)_068A - Copy
Note that there is little evidence of myelin or axonal debris in these Schwann processes. (electron micrographs)
