Table of Contents
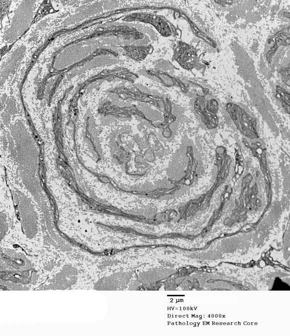
Washington University Experience | PERIPHERAL NEUROPATHY | 20 PSEUDO-ONION BULBS | 1C14A APseudoOB (Case 1)_075A - Copy
1C14A,B Note the islands of Schwann cell processes forming concentric abbreviated collections. (electron micrographs)
