Table of Contents
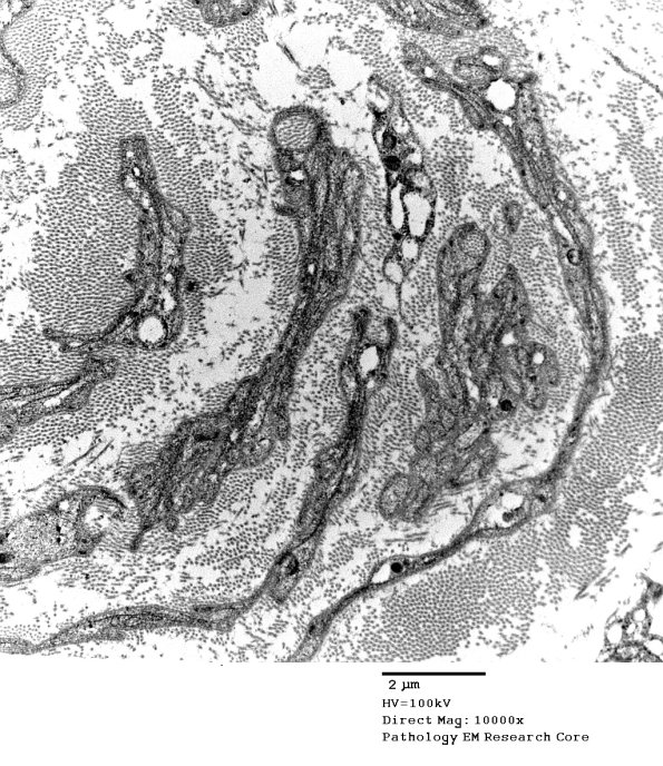
Washington University Experience | PERIPHERAL NEUROPATHY | 20 PSEUDO-ONION BULBS | 1C14B PseudoOB (Case 1)_076A - Copy
Note the islands of Schwann cell processes forming concentric abbreviated collections. (electron micrographs)
