Table of Contents



Washington University Experience | PERIPHERAL NEUROPATHY | 20 PSEUDO-ONION BULBS | 1C15A PseudoOB (Case 1)_078A - Copy

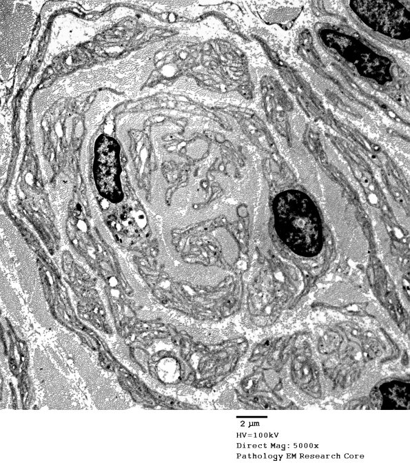
1C15A PseudoOB (Case 1)_078A - Copy
1C15A,B The individual pseudo-onion bulbs appear uniform. (electron micrographs)


Gallery RSS RSS Feed | Archive View | Login | Powered by Zenphoto