Table of Contents



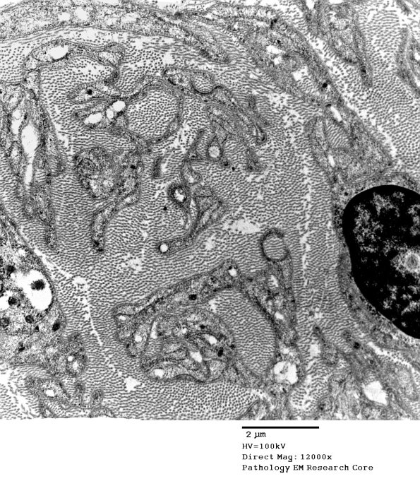
Washington University Experience | PERIPHERAL NEUROPATHY | 20 PSEUDO-ONION BULBS | 1C15B PseudoOB (Case 1)_079A - Copy

1C15B PseudoOB (Case 1)_079A - Copy
The individual pseudo-onion bulbs appear uniform. (electron micrographs)


Gallery RSS RSS Feed | Archive View | Login | Powered by Zenphoto