Table of Contents
Washington University Experience | PERIPHERAL NEUROPATHY | 20 PSEUDO-ONION BULBS | 1C2 PseudoOB (Case 1)_084A - Copy
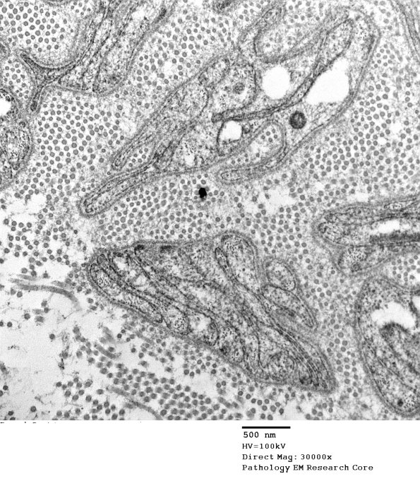
These images show the pathologic substrate in this case which is nearly complete loss of axons with numerous bands of Büngner. (electron micrographs)
