Table of Contents
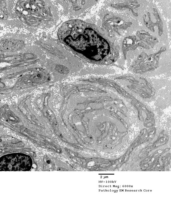
Washington University Experience | PERIPHERAL NEUROPATHY | 20 PSEUDO-ONION BULBS | 1C4 PseudoOB (Case 1)_089A - Copy
Several examples of the collection of Schwann cell processes consistent with forming pseudo onion-bulbs, structures in which crescentic aggregates of Schwann cell processes and basal lamina mimic onion-bulbs. Whereas true onion-bulbs are evidence of cycles of demyelination/remyelination, pseudo onion-bulbs typically characterize marked loss of axons. (electron micrographs)
