Table of Contents
Washington University Experience | PERIPHERAL NEUROPATHY | 20 PSEUDO-ONION BULBS | 1C7 PseudoOB (Case 1)_093A - Copy
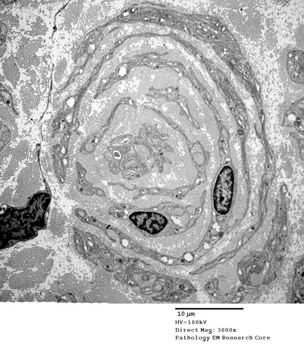
1C7,8 In these images there are no central demyelinated axons and the surrounding crescentic elements are typically composed of numerous Schwann cell processes. (electron micrographs)
