Table of Contents
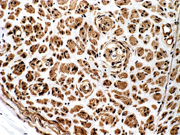
Washington University Experience | PERIPHERAL NEUROPATHY | 20 PSEUDO-ONION BULBS | 2B4 Pseudo-Onion Bulb (Case 2) Coll IV
Higher magnification images of image #2B1. The immunostain for collagen IV shows a general increase in the amount of basal lamina containing processes composing the POB structures. (Collagen IV IHC)
