Table of Contents
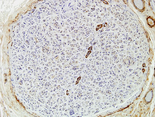
Washington University Experience | PERIPHERAL NEUROPATHY | 20 PSEUDO-ONION BULBS | 2C1Pseudo-onion-bulb-Case-2-SMA-4.jpg
The whorled appearance of the POB is well shown even if unlabeled by this smooth muscle actin staining of the vasculature. (SMA IHC)
