Table of Contents



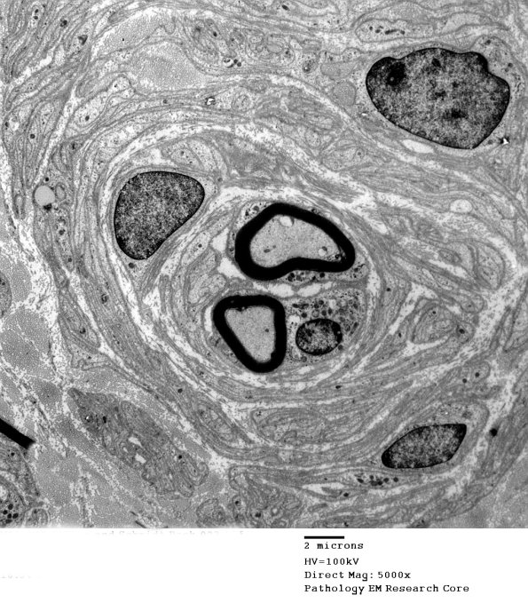
Washington University Experience | PERIPHERAL NEUROPATHY | 20 PSEUDO-ONION BULBS | 2F10 (Case 2) EM023 - Copy

2F10 (Case 2) EM023 - Copy
2F10-14 Additional examples of the gamut of pathologies found in POB. (electron micrographs)


Gallery RSS RSS Feed | Archive View | Login | Powered by Zenphoto