Table of Contents
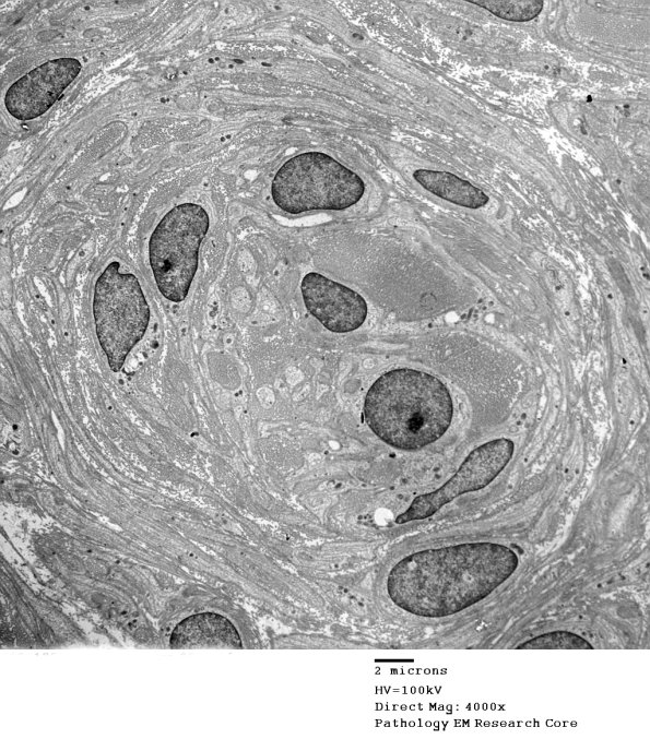
Washington University Experience | PERIPHERAL NEUROPATHY | 20 PSEUDO-ONION BULBS | 2F14 (Case 2) Nerve_058 - Copy
Additional examples of the gamut of pathologies found in POB. (electron micrographs) ---- Classic OB with a central demyelinated axon surrounded by imbricated Schwann cell processes were rare, perhaps nonexistent, in this case.
