Table of Contents
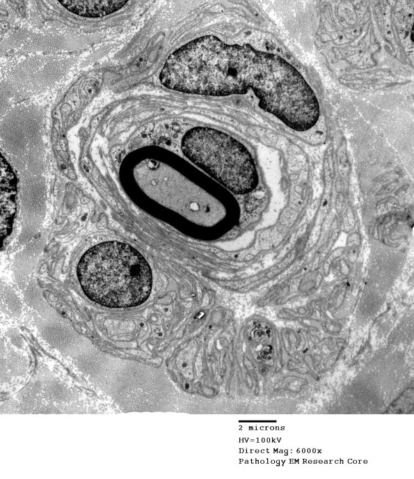
Washington University Experience | PERIPHERAL NEUROPATHY | 20 PSEUDO-ONION BULBS | 2F3A PseudoOB (Case 2) EM 028A - Copy
2F3A,B There is a central myelinated axon in this POB but it is not convincingly abnormally demyelinated. (electron micrographs)
