Table of Contents



Washington University Experience | PERIPHERAL NEUROPATHY | 20 PSEUDO-ONION BULBS | 2F3B EM030 - Copy

2F3B EM030 - Copy
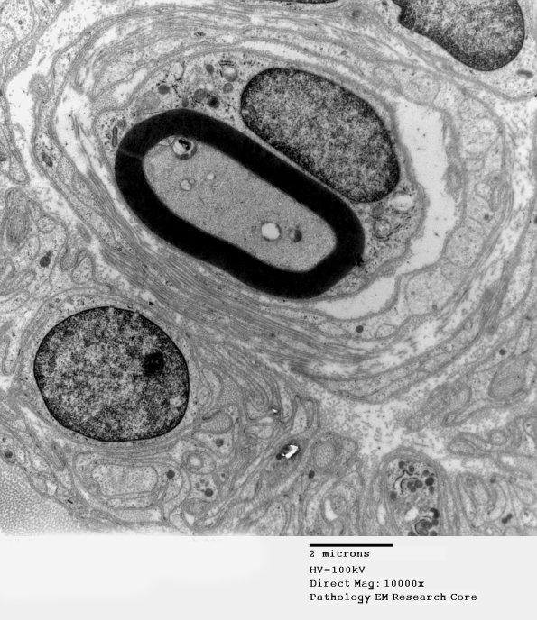
There is a central myelinated axon in this POB but it is not convincingly abnormally demyelinated. (electron micrographs)


Gallery RSS RSS Feed | Archive View | Login | Powered by Zenphoto