Table of Contents
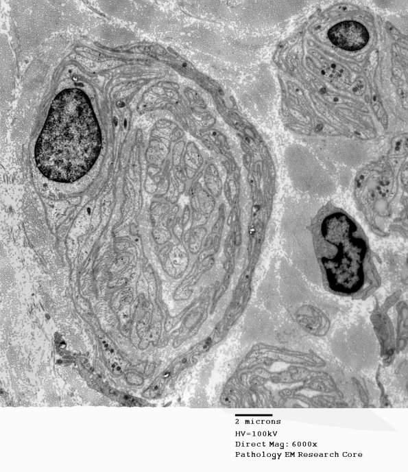
Washington University Experience | PERIPHERAL NEUROPATHY | 20 PSEUDO-ONION BULBS | 2F4 PseudoOB (Case 2) EM 035A - Copy
Here the POB is not so much a concentric structure but a more compressed collected mass of Schwann cell derived numerous processes. (electron micrographs)
