Table of Contents



Washington University Experience | PERIPHERAL NEUROPATHY | 20 PSEUDO-ONION BULBS | 2F5A PseudoOB (Case 2) EM 1 - Copy

2F5A PseudoOB (Case 2) EM 1 - Copy
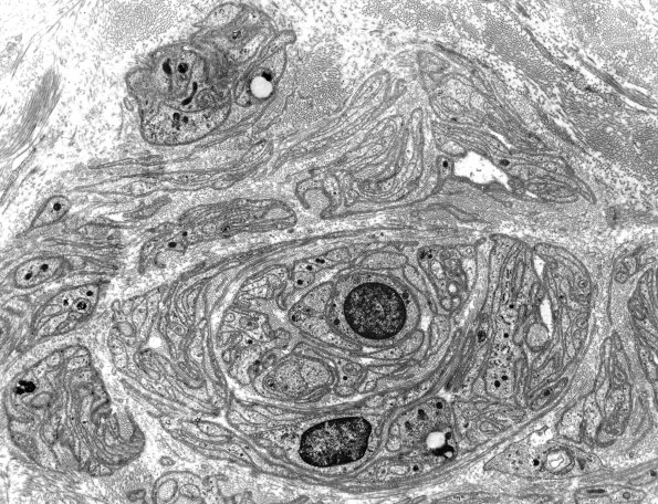
2F5A,B A small POB with a central collection of Schwann cell processes. (electron micrographs)


Gallery RSS RSS Feed | Archive View | Login | Powered by Zenphoto