Table of Contents
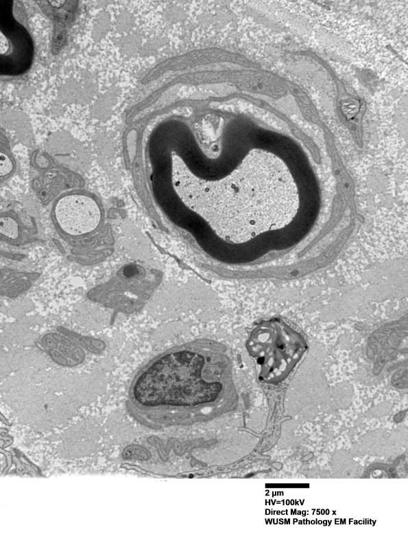
Washington University Experience | PERIPHERAL NEUROPATHY | 20 PSEUDO-ONION BULBS | 6C4 (Case 6) EM038 - Copy
A number of myelinated axons, not compellingly demyelinated, are surrounded by Schwann cell processes forming POB. There are numerous unmyelinated axons which are represented in many cases by “singletons” (single unmyelinated axons per Schwann cell unit). There are numerous bands of Büngner, some with lipidic debris and scattered lipofuscin. There are numerous axons with thinned myelin for axon caliber and regenerative clusters, evidence of axon degeneration with regeneration. Genuine onion bulbs are not present, nor are demyelinated axons, macrophage mediated demyelination or significant inflammation.
