Table of Contents
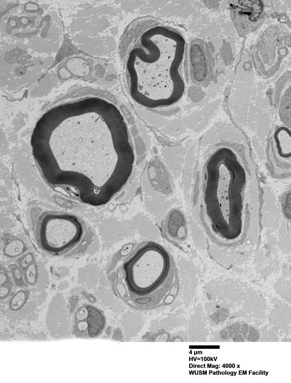
Washington University Experience | PERIPHERAL NEUROPATHY | 20 PSEUDO-ONION BULBS | 6C7 (Case 6) EM002 - Copy
There are many myelinated axons surrounded by individual short lengths of Schwann cell processes. (electron micrograph)
