Table of Contents
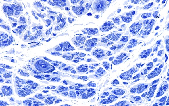
Washington University Experience | PERIPHERAL NEUROPATHY | 20 PSEUDO-ONION BULBS | 8B2 (Case 8) Nerve Plastic 100X 1
Plastic sections show near total loss of large and small myelinated axons. Many large residual clumps of Schwann processes have an organized Schwann cell appearance, not precisely whorled but hinting at a substructure to be examined further by ultrastructure. (plastic sections)
