Table of Contents



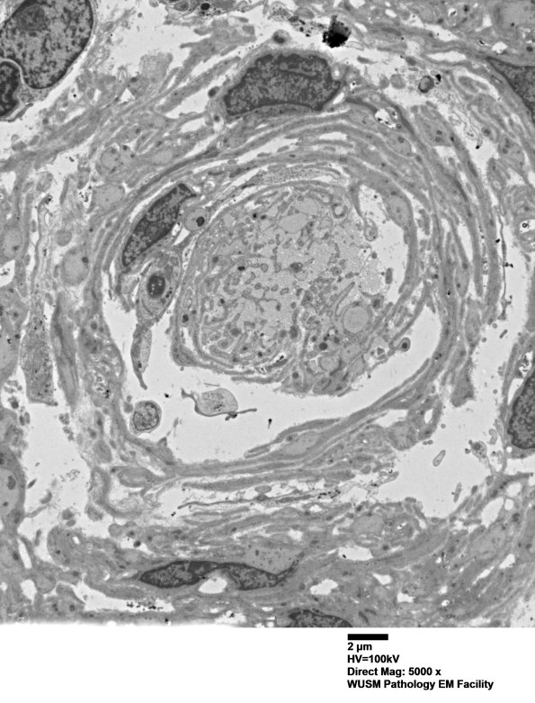
Washington University Experience | PERIPHERAL NEUROPATHY | 20 PSEUDO-ONION BULBS | 8C1B (Case 8) Nerve_013 - Copy

8C1B (Case 8) Nerve_013 - Copy
8C1B-E Progressively higher magnification of image# 8C1A. (electron micrographs)


Gallery RSS RSS Feed | Archive View | Login | Powered by Zenphoto