Table of Contents
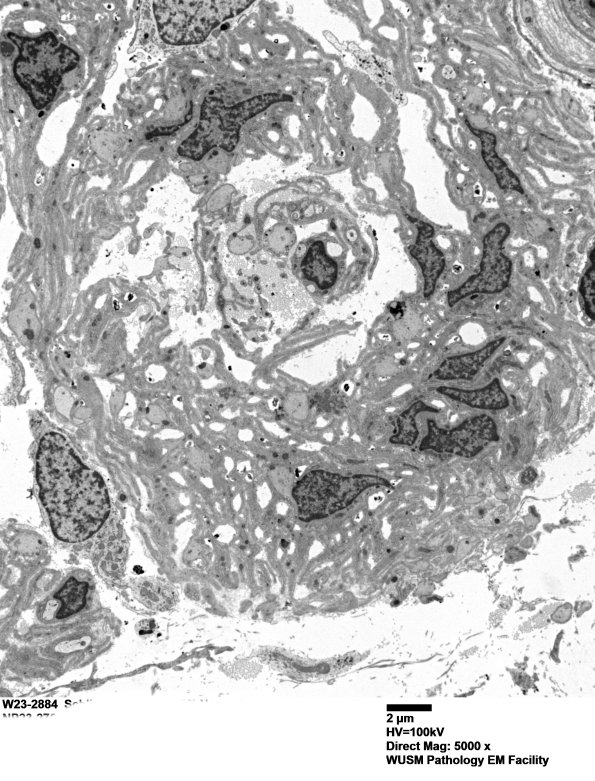
Washington University Experience | PERIPHERAL NEUROPATHY | 20 PSEUDO-ONION BULBS | 8C2A (Case 8) Nerve_016 - Copy
8C2A-C This is an even less structured POB that consists mostly of layered Schwann cell processes around a central area. (electron micrographs)
