Table of Contents
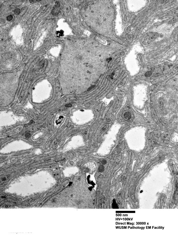
Washington University Experience | PERIPHERAL NEUROPATHY | 20 PSEUDO-ONION BULBS | 8C2B (Case 8) Nerve_004 - Copy
8C2B,C I thought the central structures might be demyelinated axons; however, they actually represent collections of Schwann cell cytoplasm containing processes. (electron micrographs)
