Table of Contents
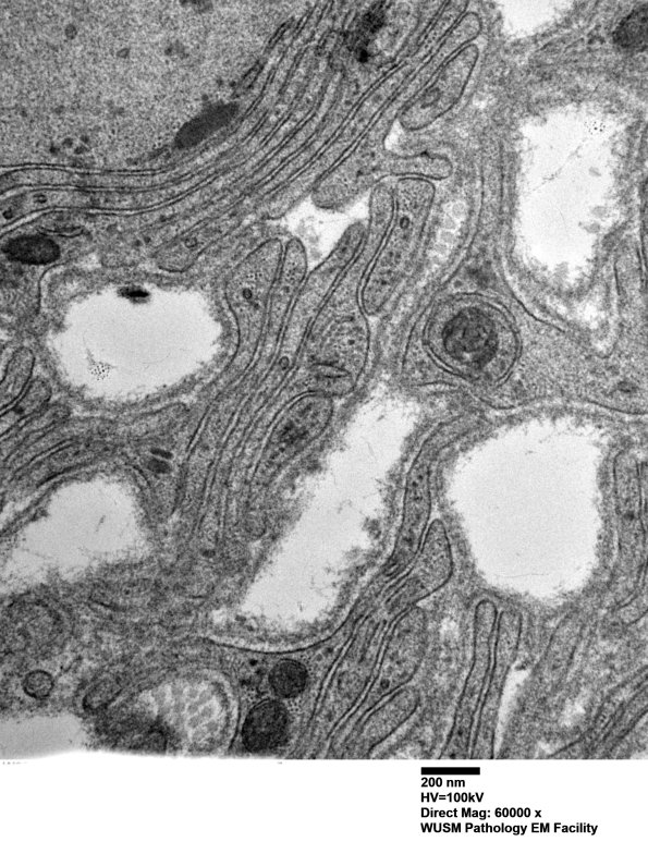
Washington University Experience | PERIPHERAL NEUROPATHY | 20 PSEUDO-ONION BULBS | 8C2C (Case 8) Nerve_005 - Copy
I thought the central structures might be demyelinated axons; however, they actually represent collections of Schwann cell cytoplasm containing processes. (electron micrographs)
