Table of Contents
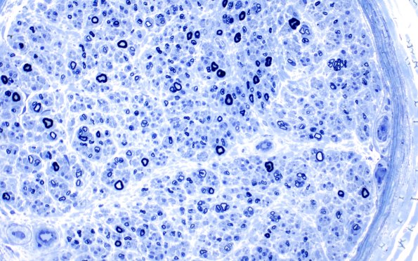
Washington University Experience | PERIPHERAL NEUROPATHY | 20 PSEUDO-ONION BULBS | 9A3 PseudoOB (Case 9) Plastic 40X
9A3-5 These higher magnification images confirm the significant loss of large and small myelinated axons, regenerative clusters and axons surrounded by delicate Schwann cell processes consistent with pseudo-onion bulbs. As a result, ultrastructure was examined. (plastic sections)
