Table of Contents
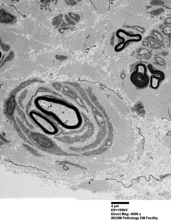
Washington University Experience | PERIPHERAL NEUROPATHY | 20 PSEUDO-ONION BULBS | 9B4 (Case 9) SURAL_001 - Copy
Pseudo-Onion bulbs frequently are composed of non-contiguous sectors of Schwann cell processes. (electron micrograph)
