Table of Contents
Washington University Experience | PERIPHERAL NEUROPATHY | 20 PSEUDO-ONION BULBS | 9B7 (Case 9) SURAL_012 - Copy
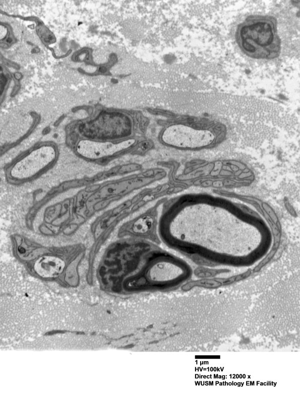
Forms of POB in which residual myelinated axons persist without demyelinated forms or remyelinated elements. These elements represent collections of Schwann processes with residual axons and bands of Büngner. There is residual axon and myelin debris in Schwann cells but no actively degenerating axons or ongoing demyelination. (electron micrograph)
