Table of Contents
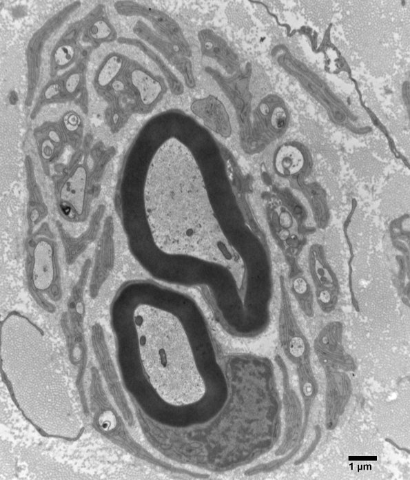
Washington University Experience | PERIPHERAL NEUROPATHY | 20 PSEUDO-ONION BULBS | 9B9 (Case 9) SURAL_020 - Copy
In some cases structures which appear to be onion bulbs by light microscopy appear as marginally associated collections of endoneurial elements. (electron micrographs)
