Table of Contents
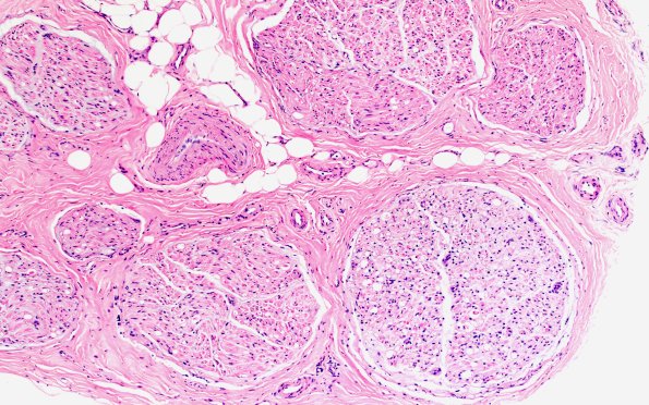
Washington University Experience | PERIPHERAL NEUROPATHY | 21 PRIMARY BILIARY CHOLANGITIS NEUROPATHY | 1A1 Primary Biliary Cirrhosis (Case 1) H&E 4X 2
Case 1 History ---- The patient was a 70-year-old woman with a history of liver amyloidosis, primary biliary cholangitis, and CKD stage 3 presenting with generalized weakness. She also described left foot pain and bilateral radiating leg pain. The clinical suspicion was amyloidosis. (Thanks to Drs. Hannes Vogel & Angus Toland for this case) ---- 1A1 A low magnification sural nerve image shows multiple fascicles with little abnormality. (H&E)
