Table of Contents
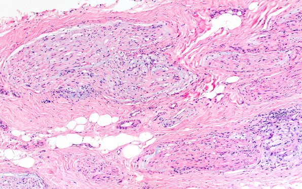
Washington University Experience | PERIPHERAL NEUROPATHY | 21 PRIMARY BILIARY CHOLANGITIS NEUROPATHY | 1A2 Primary Biliary Cirrhosis (Case 1) H&E 10X 1
1A2-4 At higher magnification the perineurium appears expanded and foamy. (H&E)
