Table of Contents
Washington University Experience | PERIPHERAL NEUROPATHY | 21 PRIMARY BILIARY CHOLANGITIS NEUROPATHY | 1A4 Primary Biliary Cirrhosis (Case 1) H&E 20X 2 copy
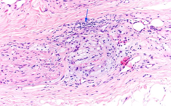
At higher magnification the perineurium appears expanded and foamy. (H&E)
