Table of Contents
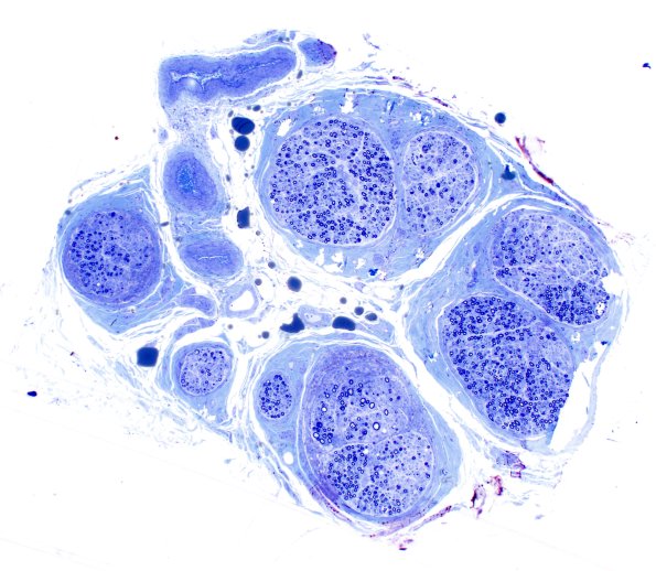
Washington University Experience | PERIPHERAL NEUROPATHY | 21 PRIMARY BILIARY CHOLANGITIS NEUROPATHY | 1B1 Primary Biliary Cirrhosis (Case 1) Best Plastic 4X 1
1B1-3 These low magnification images show striking patchy myelinated axon loss. None of the plastic section images show significant inflammation. (Toluidine blue stained one-micron thick plastic embedded sections = ‘Plastic sections’)
