Table of Contents
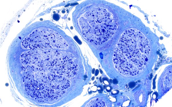
Washington University Experience | PERIPHERAL NEUROPATHY | 21 PRIMARY BILIARY CHOLANGITIS NEUROPATHY | 1B3 Primary Biliary Cirrhosis (Case 1) Plastic 10X 1
These low magnification images show striking patchy myelinated axon loss. None of the plastic section images show significant inflammation. (Toluidine blue stained one-micron thick plastic embedded sections = ‘Plastic sections’)
