Table of Contents
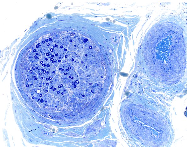
Washington University Experience | PERIPHERAL NEUROPATHY | 21 PRIMARY BILIARY CHOLANGITIS NEUROPATHY | 1B4A Primary Biliary Cirrhosis (Case 1) Best Plastic 20X 4
1B4A-C Several higher magnification images of a fascicle show both patchy myelinated axon loss as well as perineurial, sub-perineurial and deeper endoneurial accumulation of macrophages containing large amounts of fat droplets. (Plastic sections).
